5 Question Quiz
Test Your Knowledge (This Should Be Easy)
Which structures are being identified in the below cases?
Which aortic cusp is the arrow indicating in this parasternal short axis image?
A. Anterior cusp
B. Non-Coronary cusp
C. Lateral cusp
D. Right coronary cusp
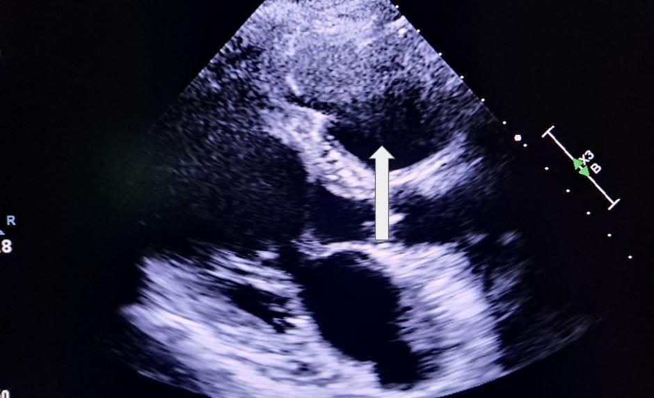
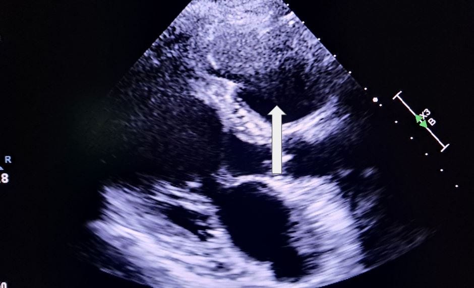
What section of the aorta is the arrow pointing to in this 3-chamber view?
A. Aortic Root
B. Descending aorta
C. Abdominal aorta
D. Aortic Arch
Which chamber is displayed on this parasternal long axis image?
A. Right atrium
B. Left atrium
C. Left ventricle
D. Right ventricle
What is the structure being indicated in this subcostal 4-chamber view?
A. Tricuspid valve
B. Chordae tendineae
C. Septum
D. Pulmonary vein
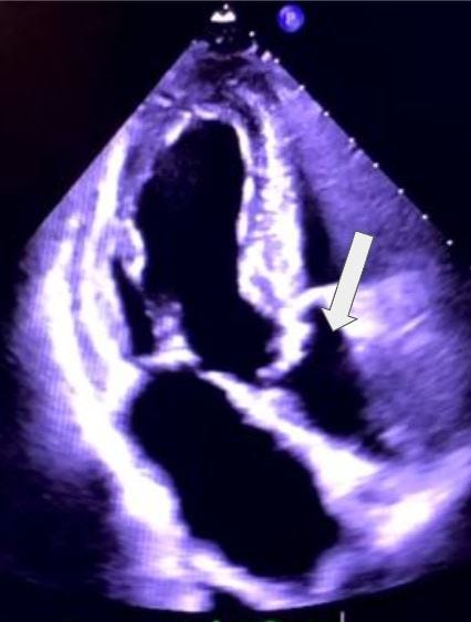
Which scallop is being indicated in this apical 4-chamber image?
A. A1
B. A2
C. P1
D. P2
Answer Key and Explanations…
Enhance your knowledge with our premium subscription, which offers exclusive access to in-depth case studies and detailed explanations that elevate your understanding of echocardiography. Each lesson is crafted to keep medical professionals and students at the forefront of the latest developments. Every Tuesday, we deliver an advanced lesson straight to your inbox, along with a mini lesson later in the week. This ensures your email is filled with invaluable echocardiography insights that you won’t want to miss! Stay ahead of the curve and enhance your skills with our practical resources.








